
Blood Tests and Pathology
Blood and pathology tests are a vital part of detecting, diagnosing, and treating conditions.
Our Imaging & Diagnostics centre is a beacon of excellence, supporting the fast and accurate diagnosis of common and complex conditions in adults and children aged 3+. Offering a comprehensive range of advanced investigations under one roof, our facilities enable us to provide a seamless diagnostic experience for every patient.

Our team is made up of some of the UK’s foremost consultant radiologists and clinical experts. They work collaboratively across specialties – from cardiology and orthopaedics to neurology and women’s health – to provide highly accurate, rapid diagnoses. From your first appointment to your final report, we offer an efficient and compassionate service designed around your needs, often with same-day or next-day appointments, and rapid turnaround of results.
advanced MRI machines
of the latest available CT scanners
blood test pods
pathology tests
Our lab partner, The Doctor’s Laboratory (TDL), provides Welbeck with tech-driven analysis of blood, stool, and urine samples with highly efficient turnaround times. We use the latest available AI and digital technologies across our various imaging modalities, including FerriScan, Brainkey, Amra Visceral Fat, SpringBok, Caristo Cari-Heart, HeartFlow and Cari-Plaque, to provide the most accurate results and diagnoses possible. With access to the latest iterative technology, we’re able to reduce radiation and contrast (DYE) doses, ensuring the highest quality diagnostic imaging at the lowest practical doses. We understand that having an MRI can be daunting, which is why we’re also working continuously to provide the best imaging with the least amount of time in the scanner. Where recommended, we also support image-guided procedures such as CT-guided spinal injections, colonic transit study, and CT colonoscopy.
We’re proud to offer a walk-in service for X-rays and blood testing. There’s no booking required; simply arrive with a referral form from your GP, consultant, or specialist doctor, and we’ll see you as soon as possible. For X-rays, we’re open 8am to 8pm, Mon to Fri, and 9am to 4pm Sat. For blood tests, we’re open 8am to 8pm Mon to Fri, and 8am to 4pm Sat.
Imaging and diagnostics are an integral part of your time as a Welbeck patient. Striving to provide an excellent patient experience at every turn, your consultant will discuss all of your options with you and recommend the most appropriate investigations for your unique needs and personal preferences.

Blood and pathology tests are a vital part of detecting, diagnosing, and treating conditions.

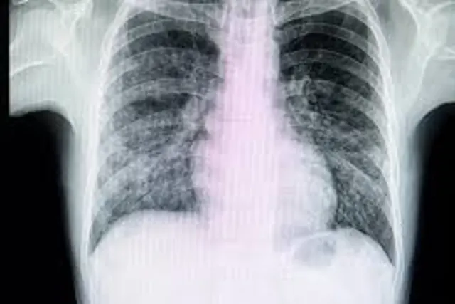
An X-ray is a type of imaging test that uses radiation to produce images of the body.

Welbeck offers private chest X-rays to detect, diagnose, and monitor a range of lung conditions.

CT (computed tomography) is a specialised imaging test that uses X-ray beams to create detailed cross-sectional pictures of the body.

A standing CT scan is an imaging test that allows you to stand while a machine uses X-rays to create images of the inside of your feet or ankles.

An MRI (magnetic resonance imaging) scan uses a magnetic field and radio waves to take images of the inside of your body.

At Welbeck, we are among the few hospitals in the country that offer MRI scans to patients with pacemakers and implantable defibrillators.

A DEXA scan is a simple, painless test that measures your bone density and helps assess your risk of osteoporosis – a condition that weakens bones and makes them more likely to break.

FerriScan is a type of non-invasive MRI scan. It measures your liver iron concentration (LIC) to help identify and monitor liver iron overload.

CT coronary angiography (CTCA) is an advanced imaging test that provides high-resolution pictures of the coronary arteries in a beating heart to support cardiac assessment.

Our highly skilled radiologists and consultants perform a broad range of ultrasound scans within our modern facilities, enabling accurate diagnosis and treatment for issues involving organs, tissues, and blood flow. For ultrasound scans, please contact our dedicated centre: ultrasound@onewelbeck.com | 02033277305
At Welbeck, we combine cutting-edge technology with consultant-led expertise to deliver the highest standard of diagnostic tests and imaging. Our clinicians and radiologists are leaders in their field, working closely with referring clinicians to ensure every test provides valuable insights for optimal treatment decisions for every patient.






































Services are available at our state-of-the-art Imaging & Diagnostics centre in London. Use the map to find your nearest Welbeck location and plan your visit.
Loading
At Welbeck, we’re committed to ensuring the referral process is smooth and efficient. We welcome referrals from GPs and other healthcare professionals and aim to offer same-day or next-day appointments where possible.


Facing severe pain from a slipped disc, Caitlin turned to Dr Dan Plev at Welbeck for a swift diagnosis. Read about Caitlin's supportive and efficient experience, from MRI to quick results, which helped them get timely treatment before their wedding.

Magnetic resonance imaging (MRI) uses a large powerful magnet to produce a magnetic field. When combined with radio waves that are returned from the patient, the computer can produce amazingly detailed images of almost any part of the body.

X-rays provide the medical profession with a powerful diagnostic tool and can be utilised to help identify, diagnose, monitor, and even treat many pathologies.
All of our tests require a referral from a GP, consultant, or specialist. To book an appointment, please contact the centre via our enquiry page, or by phone: 020 8015 5982.
We offer a walk-in service for patients with a referral form for blood tests and X-rays. Please click here to access our referral forms, and contact the centre directly for more information.
If you require a referral and would like to see a Welbeck specialist, please contact the relevant centre to book an initial consultation.
Following your appointment, copies of your imaging can be provided on request. We can send these to you directly via secure digital download, provide a CD, or share them with your referrer wherever possible (dependant on sharing platform access). Please enquire, and we can advise on specific requests.
Due to UK regulations, we’re unable to accept referrals from international healthcare professionals. If you’d like to book an appointment with a Welbeck specialist for a consultation, please contact the relevant centre directly.
Referral forms for blood tests are valid for 6 months. Referral forms for any imaging are valid for 3 months.
For safety reasons, it’s important that you do not bring your children to any test appointment. We do not have any childcare available in the centre, and children must not be left unattended. If you attend an appointment with your child, we will likely need to reschedule your appointment.
Yes. We currently offer the following tests for paediatric patients: